《论语·乡党》中记载孔子"不多食",宋代朱熹注曰"适可而止",旨在告诫人们应当在事物发展过程中把握最佳度量,于适当时机适时止步。在我们的大脑中,同样存在着这种微妙的平衡——渴了要饮水,足矣则止。这看似简单的日常行为,背后却蕴含着精巧绝伦的神经环路设计。
近日,我校陈忠教授团队在《Nature Neuroscience》上发表最新研究成果,揭示了一条从内侧隔核(Medial septum, MS)到穹窿下器官(the subfornical organ, SFO)的抑制性神经环路,参与饮水行为的预测性控制。这一发现为理解体液平衡和相关疾病提供了新视角。

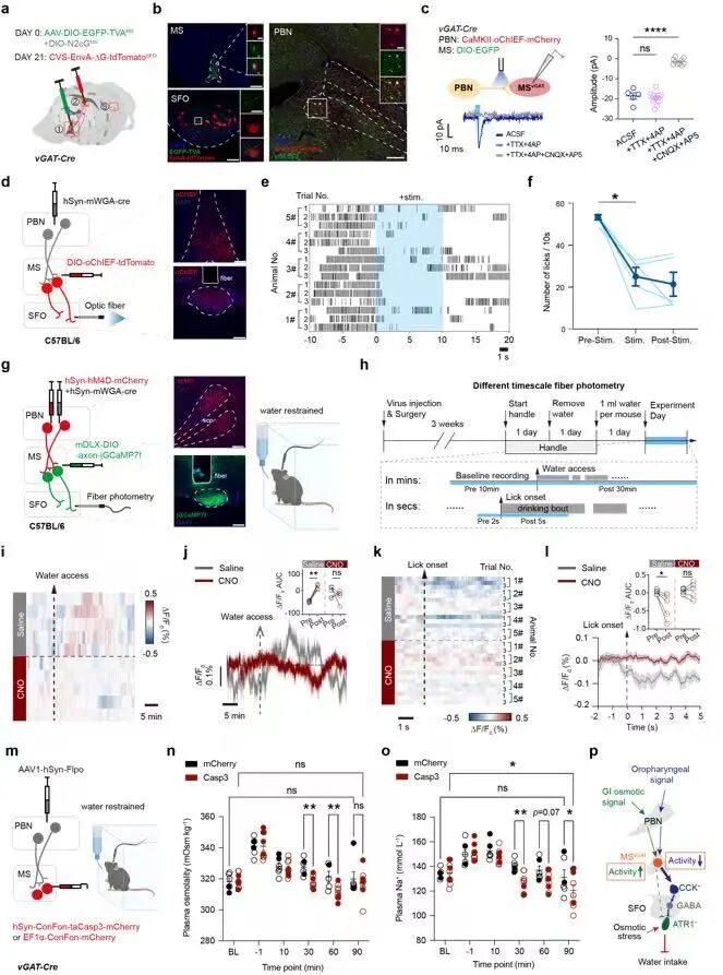
当我们口渴时,几口水便能缓解,而体内渗透压的变化需至少十分钟以上。如此快速的感知背后,隐藏着生命系统的精妙设计。研究发现,MS区的GABA能神经元在饮水行为中扮演重要角色。这些神经元在饮水初期被抑制,但随着饮水过程的推进,其活动逐渐增强。通过光遗传学、在体光纤记录、和双光子成像技术,我们发现并验证了激活MS-SFO环路可迅速终止口渴小鼠的饮水行为,而抑制该环路则会诱发正常生理状态下小鼠的饮水行为,且这种调控存在状态依赖性。
进一步研究表明,这些神经元通过接收臂旁核(PBN)的信号,整合口腔和胃肠道的感觉信息,并传递至SFO,从而实现对饮水行为的精准调控。若切断PBN至MS的信号通路,会导致口渴小鼠无法正常终止饮水行为并进一步导致低钠血症。空间转录组测序技术也揭示,MS区投射至SFO的GABA能神经元选择性表达SRY框转录因子6(Sox6),这一关键基因可能在体液平衡中发挥重要作用。

这项研究不仅揭示了饮水“适可而止”的神经调控机制,还为多饮症等饮水障碍相关疾病的诊疗提供了潜在药物干预靶点。
该研究的第一作者为浙江中医药大学博士后徐玲钰,浙江大学硕士研究生孙瑜浩、新加坡国立大学黄陈元博士以及浙江中医药大学郑艳榕研究员为共同第一作者,浙江中医药大学陈忠教授为本研究通讯作者。本研究获得了国家自然科学基金、浙江省自然科学基金、中国博士后科学基金等项目的资助。
全文链接:https://doi.org/10.1038/s41593-025-02056-4
